Lompat ke konten Lompat ke sidebar Lompat ke footer

Polyp Endometrial Icd 10 / Symptoms of polyps and how danger it is. | Colonoscopy and ... - Please note that this database does not guarantee reimbursement.

Menometrorrhagia, endometrial polyp, follicular cysts of left ovary. This lining grows and shrinks during different stages of the menstrual cycle. Are you looking for endometrial polyp icd 10 code? 2 what is polyps in uterus. Increasing age is the most important risk factor, with.

Endometrial polyp with atypical stromal cells: POLIP STOP 6 MIX Kompozitna formula kod polipa ženskih ...
POLIP STOP 6 MIX Kompozitna formula kod polipa ženskih ... from www.biljni-preparati.com
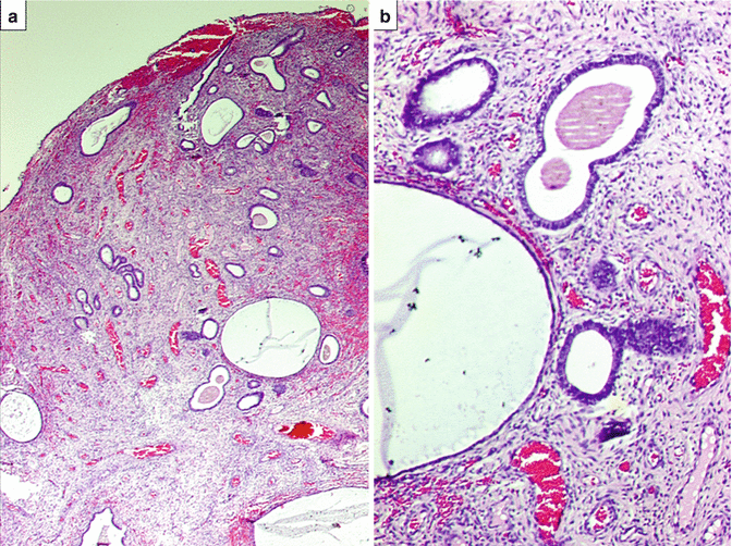
A subtotal abdominal hysterectomy (salvaging the cervix) with bilateral. The uterus is primarily made up of muscle fibers but has an inner lining made up of endometrial tissue. People who have had polyps in the past are somewhat more likely to develop them in the future, compared to. Professional clinical analysis should always be sought when determining proper use of codes. They come from the tissue that lines the uterus, called the endometrium. Pedunculated polyps are more common than sessile ones. Endometrial polyps, which are sessile or pedunculated projections of the endometrium, develop as solitary or multiple soft tumors, which are usually stromal but in some cases composed of hyperplastic endometrium figure 10.15. Are you looking for endometrial polyp icd 10 code?

In asymptomatic women, endometrial polyps may regress spontaneously, in symptomatic women endometrial polyps can be treated safely and efficiently with hysteroscopic excision.

All of coupon codes are verified and tested today! Endometrial polyp in an aged rhesus macaque, macaca mulatta. The diagnoses for this patient are: 68.22 incision or excision of congenital septum of uterus. A systematic review of 17 observational studies including over 10. Professional clinical analysis should always be sought when determining proper use of codes. Endometrial polyps are a common gynecologic disease that may be symptomatic, with abnormal vaginal bleeding being the most common presentation. Pedunculated polyps are more common than sessile ones. You can easily access information about endometrial polyp icd 10 code by clicking on the most relevant link below. Menometrorrhagia, endometrial polyp, follicular cysts of left ovary. In asymptomatic women, endometrial polyps may regress spontaneously, in symptomatic women endometrial polyps can be treated safely and efficiently with hysteroscopic excision. You may browse the classification by using the hierarchy on the left or by using the search functionality. International statistical classification of diseases and related health problems 10th revision.

More information on how to use the online browser is available in the help. Endometrial polyps are a common gynecologic disease that may be symptomatic, with abnormal vaginal bleeding being the most common presentation. The diagnoses for this patient are: 68.22 incision or excision of congenital septum of uterus. Endometrial polyp in an aged rhesus macaque, macaca mulatta.

A subtotal abdominal hysterectomy (salvaging the cervix) with bilateral. Hiperplazie atipică cod icd-9 - Endometrial cancer icd 10
Hiperplazie atipică cod icd-9 - Endometrial cancer icd 10 from kd-group.ro
Endometrial polyps are a common gynecologic disease that may be symptomatic, with abnormal vaginal bleeding being the most common presentation. A subtotal abdominal hysterectomy (salvaging the cervix) with bilateral. Are you looking for endometrial polyp icd 10 code? 68.22 incision or excision of congenital septum of uterus. More information on how to use the online browser is available in the help. International statistical classification of diseases and related health problems 10th revision. Pedunculated polyps are more common than sessile ones. The diagnoses for this patient are:

Endometrial polyps are caused by the overgrowth of endometrial tissue, which is the lining of the uterus that swells and then endometrial polyps may recur.

This lining grows and shrinks during different stages of the menstrual cycle. Increasing age is the most important risk factor, with. Pedunculated polyps are more common than sessile ones. They come from the tissue that lines the uterus, called the endometrium. All of coupon codes are verified and tested today! Endometrial polyp with atypical stromal cells: You can easily access information about endometrial polyp icd 10 code by clicking on the most relevant link below. 68.22 incision or excision of congenital septum of uterus. International statistical classification of diseases and related health problems 10th revision. They may have a large flat base (sessile) or be attached to the uterus by an elongated pedicle (pedunculated). Endometrial polyps, which are sessile or pedunculated projections of the endometrium, develop as solitary or multiple soft tumors, which are usually stromal but in some cases composed of hyperplastic endometrium figure 10.15. More information on how to use the online browser is available in the help. Uterine polyps, also called endometrial polyps, are small, soft growths on the inside of a woman's uterus, or womb.

In asymptomatic women, endometrial polyps may regress spontaneously, in symptomatic women endometrial polyps can be treated safely and efficiently with hysteroscopic excision. Menometrorrhagia, endometrial polyp, follicular cysts of left ovary. All of coupon codes are verified and tested today! Below are 46 working coupons for endometrial polyp icd 10 code from reliable websites that we have updated for users to get maximum savings. Endometrial polyps are caused by the overgrowth of endometrial tissue, which is the lining of the uterus that swells and then endometrial polyps may recur.

Below are 46 working coupons for endometrial polyp icd 10 code from reliable websites that we have updated for users to get maximum savings. Benign cancer icd 10 - (PDF) LISTA TABELARĂ A BOLILOR ...
Benign cancer icd 10 - (PDF) LISTA TABELARĂ A BOLILOR ... from constiintaortodoxa.ro
Endometrial polyp with atypical stromal cells: Endometrial polyps are a common gynecologic disease that may be symptomatic, with abnormal vaginal bleeding being the most common presentation. A systematic review of 17 observational studies including over 10. International statistical classification of diseases and related health problems 10th revision. People who have had polyps in the past are somewhat more likely to develop them in the future, compared to. All of coupon codes are verified and tested today! Please note that this database does not guarantee reimbursement. 2 what is polyps in uterus.

See the best & latest endometrial polyp icd 10 code on iscoupon.com.

Endometrial polyps, which are sessile or pedunculated projections of the endometrium, develop as solitary or multiple soft tumors, which are usually stromal but in some cases composed of hyperplastic endometrium figure 10.15. Are you looking for endometrial polyp icd 10 code? A subtotal abdominal hysterectomy (salvaging the cervix) with bilateral. People who have had polyps in the past are somewhat more likely to develop them in the future, compared to. This lining grows and shrinks during different stages of the menstrual cycle. Uterine polyps, also called endometrial polyps, are small, soft growths on the inside of a woman's uterus, or womb. An endometrial polyp or uterine polyp is a mass in the inner lining of the uterus. They can range in size from as small as a sesame seed to as big as a golf ball. All of coupon codes are verified and tested today! Endometrial polyps are overgrowths of endometrial glands that typically protrude into the uterine cavity. The uterus is primarily made up of muscle fibers but has an inner lining made up of endometrial tissue. In asymptomatic women, endometrial polyps may regress spontaneously, in symptomatic women endometrial polyps can be treated safely and efficiently with hysteroscopic excision. Transcervical reseksjon av endometriereseksjon hos postmenopausale kvinner.

Polyp Endometrial Icd 10 / Symptoms of polyps and how danger it is. | Colonoscopy and ... - Please note that this database does not guarantee reimbursement.. More information on how to use the online browser is available in the help. Endometrial polyps are overgrowths of endometrial glands that typically protrude into the uterine cavity. Are you looking for endometrial polyp icd 10 code? The endometrial polyp focally interrupt the normal mucosal contour of the uterine cavity. Below are 46 working coupons for endometrial polyp icd 10 code from reliable websites that we have updated for users to get maximum savings.

Posting Komentar untuk "Polyp Endometrial Icd 10 / Symptoms of polyps and how danger it is. | Colonoscopy and ... - Please note that this database does not guarantee reimbursement."